三秦都市报-三秦网讯(记者 阮班慧)半个月前,刚满4个月的小男孩安安打破了家中的平静,家长发现,安安平日里顺畅的呼吸突然变了声音。安安的胸腔里发出粗重的气声,而且每次呼吸都伴有类似吹哨动静的喘鸣音。不仅如此,安安当天还上吐下泻了好几次,折腾得家里人忙前忙后,揪心不已。

多学科硬核联动:5天揪出“百万分之一”真凶
入院当天,医生在追问安安家人后才得知:其实安安在50
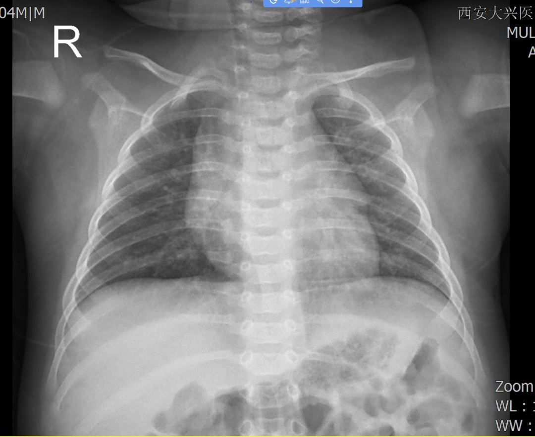
影像检查可见安安双肺纹理明显,考虑支气管肺炎最初根据症状和检查结果,医生诊断安安为支气管肺炎和腹泻病,并给予相应药物治疗。然而用药几日后,安安的症状仍未明显缓解。复查报告显示,安安的炎症指标虽“正常”却藏玄机:血常规、炎性指标均无明显异常,但肺部超声显示“双肺局部胸膜线增粗、散在B线,肺评分5分”,提示肺部损伤。于是,儿科王玲主任立即组织呼吸内科、麻醉二科会诊,与家属沟通后决定启动支气管镜检查。在儿童诊疗领域,支气管镜检查是一项极具挑战性的操作,尤其对于仅 4个月大的婴幼儿而言,更是难上加难。小患者气道纤细

面对这种情况,呼吸内科刘同刚主任与麻醉二科郭庆艳主任亲自上阵。刘主任凭借

检测结果显示,安安携带惠普尔养障体基因序列77158条
文献资料显示,在此之前,国内发现的年龄最小的感染者为5月龄;携带病原体基因序列数最多的,是一例携带了9万余条的3岁5个月的患者。经查询后确认,安安是目前发现的国内年龄最小的惠普尔养障体感染者,也是陕西省内首例惠普尔养障体感染者。
解密“惠普尔养障体”
病原体档案身份:革兰氏阳性、非抗酸、PAS 染色阳性需氧杆菌,属放线菌门,是惠普尔病的“罪魁祸首”。特性:广泛存在于污水等环境中,但感染率极低,多“盯上”免疫缺陷或有遗传易感性人群。男女发病之比为(4~8):1,以30~50岁发病者为多,平均发病年龄为39岁。
临床表现“三重奏”
典型表现:关节痛、腹泻、脂肪泻、体重减轻、淋巴结肿大等,晚期可侵犯中枢神经、眼睛和心脏。急性感染:以菌血症、胃肠炎或肺炎为主要表现。
慢性感染:多表现为慢性关节感染,引发间歇性关节炎。
特殊人群:部分人可成为无症状携带者。
诊断技术:
1
2.细菌学检查:该病原体必须依赖宿主提供营养物质才能存活,在无生命培养
3.影像学表现:缺乏特征性影像,很难与其他病原体引起的肺炎区分。
4.活检:疑似感染灶组织活检,可通过HE染色、PAS染色、抗酸染色和IHC进行诊断与鉴别。