三秦都市报-三秦网讯(记者 阮班慧)有一种痛叫三叉神经痛,它是常见的脑神经疾病之一,以一侧面部的三叉神经疼痛为主,如下巴、牙、嘴唇等周围眼眶周围及额部疼痛,来临时像电击、针刺、刀割一般疼痛的发作,具有周期性且随着病程迁延,发作次数会逐渐增多,发作时间也会延长,很难自愈。
60岁的田阿姨,就是深受三叉神经疼痛折磨了3年的一位患者,近日疼痛感一天比一天强烈,严重影响到正常的睡眠,在医院进行保守治疗,但效果不佳。经多方打听,田阿姨就找到了长安区医院疼痛科卢斌主任。

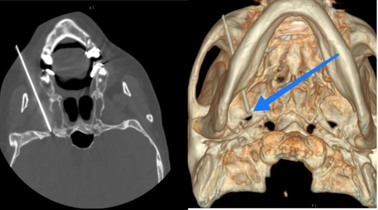
接诊这名患者后,经过卢主任疼痛团队的讨论,决定为患者行CT引导定位穿刺三叉神经射频,经过先期沟通,并得到了影像科党主任孙主任的的大力支持,通过对田阿姨的病情分析,结合检查结果,予以排除脑梗,颅内及神经周围占位等情况,确诊为原发性三叉神经(第一,二支)痛,完善术前检查,准备相关耗材物品后,在详细告知田阿姨及其家属病情及预后,得到他们的充分信任后,决定于2月17日对田阿姨进行ct引导下经卵圆孔三叉神经射频消融术。 因为这是一项本院前所未有的,具有极大挑战性的工作。影像科非常重视,和麻醉疼痛科卢主任团队反复沟通后,一起组织科室的技术骨干先进行了穿刺路线的影像模拟,查阅了大量的资料,提前计算好了术中可能发生的各种情况。

手术在局麻下进行,首先由孙文国主任及其影像介入团队,对卵圆孔进行CT定位、计划穿刺角度,制定分次进针的穿刺计划,由卢斌主任穿刺至卵圆孔,经CT三维重建后可以清楚的显示出穿刺针精准的到达目标位置,三维重建后针尖位置准确,然后进行了感觉与运动神经测试,最后通过针尖端向神经纤维传达射频电流,选择性的射频调控三叉神经病损支神经根到达止痛的目的,手术创口小,痛苦少,仅一个小时就顺利完成。


三叉神经射频调控术,是长安区医院疼痛科开展的一个新项目,在行三叉神经射频热凝术后,疼痛得到明显的缓解,且无不良反应和并发症。国内部分医院陆续开始使用射频技术配合治疗部分顽固性神经痛,目前主要用来治疗周围神经系统损伤后的顽固性疼痛疾病。基本都在c型臂下进行的,而CT引导下的射频消融术具有明显的优势,如术前定位准确,术中损伤小,术后效果显著的特点,长安区医院在CT引导下三叉神经射频消融术的成功,为后续其他颅神经痛,脊神经痛射频打下良好的基础。麻醉疼痛科,影像科,康复科的共同配合,体现了长安区医院团队的合作精神,疼痛科将在卢斌主任的带领下继续攻坚克难,勇攀高峰!为长安人民的疼痛治疗尽心竭力。
据了解,卢斌副主任医师现任西安市长安区医院麻醉疼痛科主任,具有扎实的理论基础、多年丰富的麻醉临床经验和疼痛诊疗经验。颅神经射频的技术要求较高,颅底神经血管密集分布,需要完备的解剖知识,和强大的三维空间想象能力,为了掌握先进的此类技术,近年来,卢斌主任先后多次拜访学习国家顶级医院三叉神经痛治疗,掌握了CT引导定位穿刺三叉神经的精髓技术及其他颅神经射频治疗技术,这种可三维重建设计穿刺路径、提供准确的穿刺角度、精确的穿刺深度、使得三叉神经射频更精准,更有效。










