陕西省重点新闻网站  三秦都市报官网

强直患者颈椎断裂命悬一线 “毫米级”手术助其站起

强直患者颈椎断裂命悬一线 “毫米级”手术助其站起

2025-09-17 16:09:09
分享到:

三秦都市报-三秦网讯(记者 陶颖)近日,一场“毫米级”的极限救治在西京医院骨科展开。一位强直性脊柱炎患者因意外摔倒导致颈椎完全断裂、严重脱位,脆弱的脊髓神经仅剩一线相连,医院骨科团队迎难而上,让“不可能”变为“可能”。

绝境:当“僵硬”的脊柱遇上“断裂”的颈椎

患者是一位中年男性,罹患强直性脊柱炎多年,整个脊柱融合僵直,如同一根“脆弱的竹竿”。一次意外不慎跌倒,颈椎多处骨折并严重脱位,错位的椎体将最脆弱的脊髓神经挤压到极限,生命悬于一线。“就像一根即将被扯断的电线。”主刀医生闫铭副主任医师形容道。

对普通人而言,颈椎骨折属于高风险损伤,手术难度不言而喻。而该患者脊柱僵硬,还伴有严重骨质疏松,所需植入螺钉时,如同在“酥饼上雕刻”,稍有不慎就会失败。更棘手的是,长期病变让正常的解剖结构完全混乱,医生手术视野中失去了所有熟悉“路标”。每一次操作都如同在雷区中穿行,随时可能损伤血管和神经,造成灾难性后果。

常规手术方案无法满足,但不及时手术,患者将面临生命危险。

突围:多学科协作下的“毫米级”精准拆弹

“患者入院时已经出现上肢麻木、无力等症状,这意味着神经损伤正在进行中。”团队医生回忆道。

考虑到患者病情复杂,且情况危重,医院组织骨科、麻醉科、重症医学科、放射科等多个学科组成诊疗团队,通过多次集中会诊讨论后制定手术预案,并为患者制定全链路病程动态管理方案。

麻醉环节成为手术第一道难关,通常全麻患者需使用肌松药物,但对于这位颈椎完全“断开”的患者,任何肌肉松弛都会导致颈椎进一步移位,造成不可逆的脊髓损伤。麻醉科汪晨教授、侯武刚副教授团队采用“清醒插管”方案,在患者保持意识和自主呼吸情况下完成气管插管。避免肌松药物导致的颈椎移位风险,更让医生能在麻醉与复位过程中,同步实时监测神经功能。

复位过程同样属于毫米级的“极限操作”,医生们在患者头颈后方垫上数十层薄厚相同、易抽拉的小方巾,然后一层层缓慢抽离,让颈椎逐步复位。每抽离一层,都会询问患者感觉,测试肢体活动,时刻掌握患者神经功能情况。“就像拆弹专家在剪断炸弹引线时,必须极致谨慎。”闫铭副主任医师描述道。

随着复位的完成,患者的神经功能即刻出现改善,但复位仅仅是第一步,最大的考验即将到来。骨折位置固定阶段的“精细植入”同样考验着团队功力,在严重畸形的椎体中植入螺钉,误差必须控制在毫米之间。为确保操作准确无误,手术团队借助术中实时神经电生理监测,如同装备了“预警雷达”,任何接近神经危险区域的操作都会立即触发警报。

新生:从麻木无力到重获行走

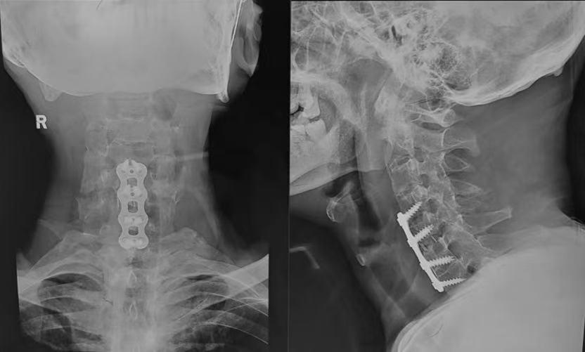
经过1个半小时的精心施术,随着最后一道缝合完成,手术宣告成功。手术室里紧张凝重的气氛,终于得以缓解。术后X光片显示,内固定位置准确,颈椎序列得到理想恢复。
返回普通病房后,在护理团队悉心照料下,术后第一天,该患者顺利拔除引流管,开始自行下地活动,神经功能评估显示已完全恢复,四肢活动自如,之前麻木无力感明显改善。

“感谢医护团队给了我新的希望,让我再一次站起来!”患者激动地说。
据治疗团队介绍,手术成功的关键在于充分的术前评估、精准的技术操作和术者的通力协作,不仅稳定了患者脊柱,更实现了神经功能的恢复。手术成功实施展现了西京医院在复杂脊柱疾病领域专业技术实力,同时为此类患者救治提供新的治疗选择。

(编辑:吕媛媛)

(责编:张彦刚)