三秦都市报-秦闻讯(李佳欣 记者 葛兰)六十岁的李女士(化名)怎么也没想到,一枚小小的铁钉,竟让她在整整一年里这么痛苦。
一年前,她在吃饭时突然感觉喉咙像被什么扎了一下,虽然几个小时后就不疼了,但没想到,这才是噩梦的开始。
一周后,她的上腹部开始疼痛,尤其是饭后两小时,准时发作。这种“吃饭—疼痛”的循环,让她对食物产生了深深的恐惧。不敢吃,体重便止不住地往下掉。一年时间里,原本健康的她,竟瘦了整整40斤。

胃镜未发现明确异物
为了看病,她跑遍了当地多家医院,反复做胃镜、CT,结果却都是“未见异常”。身体的痛苦加上检查结果的“正常”,让李女士和家人陷入了深深的无助和绝望,甚至一度被怀疑是心理问题。吃了不少药,疼痛却丝毫未减。来到九八六医院消化内科时,她和家人几乎是抱着最后一线希望。

精准影像 发现关键
面对这个棘手的病例,闫曦主任医师带领团队医生仔细翻看了李女士所有就诊记录,其中一句“最开始嗓子疼”的细节,引起了大家的注意。
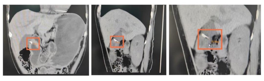
这会是问题的起点吗?医生立即为她安排了更精细的128排螺旋CT检查,并进行了三维重建。
CT发现体内金属异物
这次,谜底终于露出了蛛丝马迹。影像显示,她的胃壁内可见一个细长的条状高密度影。这个影子非常隐蔽,在普通检查中很容易被忽略。结合她最初咽喉刺痛的经历,医生们判断:这很可能是一个被胃壁完全包裹的异物。就像“潜水艇”潜入了深海,它藏在胃壁肌肉里,导致多次胃镜观察胃内表面都“风平浪静”,无法发现。
多学科协作,捉住“元凶”
诊断方向明确了,医院立刻启动了多学科会诊。普外科的专家前来会诊后,一致认为有必要进行手术探查。

术中,医生在胃壁深处找到了困扰李女士一年的“罪魁祸首”——一根长约2厘米的铁钉!这枚铁钉已经被增生的组织紧紧包裹。原来,每次吃饭后,胃酸分泌增多,胃开始蠕动,这枚深藏的铁钉就会刺激胃壁,引发剧痛。铁钉被成功取出后,李女士的腹痛很快就消失了,恢复得也非常好。
医生提醒:生活中的意外不可不防,李女士的经历虽然少见,但给我们每个人都提了个醒:
误吞东西别大意,吃饭时如果突然感觉喉咙或胸口一阵刺痛,一定要警惕。不要用“吞饭团、喝醋”这些土方法,这可能让异物扎得更深,更危险。

查不出原因别放弃
有时候,一些疑难问题需要更精细的检查手段和经验丰富的医生来判断。如果症状持续,但普通检查正常,不要轻易放弃寻找答案。
什么是消化道异物?
简单说,就是不小心吞下去的东西卡在了消化道里,比如常见的鱼刺、骨头、牙签,甚至是硬币、电池等。这些东西可能卡在食道、胃里,引起出血、穿孔等严重问题。

首选治疗方法:胃镜下取出
对于大多数消化道异物,尤其是胃内异物,内镜下取出是首选方法。它具有创伤小、恢复快、并发症少的优势。九八六医院消化内科配备先进电子胃镜系统及多种取异物器械(如网篮、异物钳、圈套器等),可安全、高效地取出各类异物。

什么时候需要手术?
如果异物像李女士这样,已经穿透胃壁、被组织包埋,或者引起了穿孔、脓肿,胃镜难以安全处理时,就需要外科手术来解决了。

如何预防?
吃饭时专心,细嚼慢咽,别边说笑边吃;
照看好孩子,别让他们玩容易吞下的小物件;
老年人要留意假牙是否松动;
一旦怀疑吞了异物,最正确的做法是立即就医,不要自己乱处理。










