三秦都市报-三秦网讯(段帅磊 记者 阮班慧)62岁的晚期十二指肠癌患者因肿瘤堵塞胆道,出现严重黄疸、胆汁排泄受阻的危急情况,导致后续抗癌治疗难以推进。唐都医院介入放射科团队为其定制“两步走”治疗方案,成功实施陕西省首例“自膨式可载粒子胆道支架植入术”,术后不到一周患者黄疸指标接近正常,目前已启动下一步抗癌治疗。

今年5月起,该患者进食后频繁出现腹痛、呕吐症状,随后皮肤、眼白逐渐发黄且病情持续加重。7月,患者在唐都医院确诊为十二指肠低分化癌(cTxN1M1 Ⅳ期,属癌症晚期)。8月,患者“黄染”症状加剧,胆红素急剧升高,恶性胆道梗阻让其陷入“胆汁排不出、身体难支撑”的困境,抗肿瘤治疗也因此停滞。
面对无法手术且急需缓解急症的患者,唐都医院介入放射科张章主任、李波副主任医师、田凯乐主治医师、段帅磊医师团队迅速会诊,量身定制“两步走”方案。一期实施经皮肝穿刺胆道引流术(PTCD),通过皮肤穿刺小孔直达肝脏胆管,快速引流胆汁为身体“减压”,促使胆红素下降、感染症状缓解;二期则启动陕西省首例“自膨式可载粒子胆道支架植入术”。张章主任介绍,该方案既优先解决了患者“减黄”的迫切需求,又能局部干预肿瘤以延缓进展,为后续治疗争取更多时间。

自膨式可载粒子胆道支架
被称为“胆道隐形手术刀”的可载粒子胆道支架,兼具疏通与抗癌双重优势。支架可自行膨胀,撑开狭窄胆管以恢复胆汁通畅排泄;更关键的是,支架上均匀搭载的碘-125粒子,能像“精准狙击手”般在病灶处持续释放低剂量射线,近距离杀灭癌细胞。这种方式既解决了当下的梗阻难题,又能延缓肿瘤进展、降低胆道再次堵塞风险,为患者争取全身治疗机会。

经皮肝穿刺胆道引流术(PTCD),术中造影提示胆道堵塞
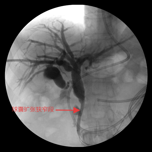
手术在C型臂透视精准引导下开展:团队沿原PTCD通道送入“头发丝”细的导丝,首次穿刺即成功,精准选取最优胆道入路以规避组织损伤;导丝跨越梗阻段时,团队密切协作避免反复抽拉引发肠道逆行感染。针对外压性病灶导致的狭窄,先以球囊扩张狭窄部位,再将装载I-125的自膨式可载粒子胆道支架精准送入胆总管梗阻段并缓慢释放。术后造影显示,支架扩张效果良好,造影剂可通畅流入十二指肠,患者生命体征平稳。

球囊扩张

置入自膨式可载粒子胆道支架
此次陕西省首例“自膨式可载粒子胆道支架植入术”的成功实施,不仅为该患者后续抗癌治疗赢得时间,也为晚期胆道梗阻患者开辟了新的治疗路径。










