三秦都市报-三秦网讯(通讯员 胡凯伦 记者 阮班慧)6年的反复肺炎,罕见的先天性肺隔离症,交大一附院儿外科团队再次攻克难题,仅仅用单孔就为患儿摘除病肺解除病痛。

一周前,6岁的多多(化名)跟随父母慕名来到西安交通大学第一附属医院儿外就诊。原来,多多早在妈妈肚子里的时候就被发现患有肺隔离症。但是家人并没有意识到这种疾病的严重性。出生至今,多多频发左肺肺炎。长期的发热、咳嗽、咳痰严重影响了多多的生长发育。家人意识到问题的严重性,却错过了最佳治疗时间(最佳手术时间为出生后6-8月)。辗转多家医院的多多家人经介绍,找到了交大一附院小儿外科曹振杰主任,希望曹主任能够帮助孩子摆脱病痛的折磨。曹主任了解多多的情况后非常同情她,希望能用最小的创伤获得最大的治疗效果。

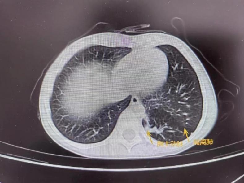
术前肺部CT提示左肺下叶叶内型肺隔离症,病灶动脉血供来自于胸主动脉近膈肌段。开胸手术无疑是提高手术安全性的一种选择。但是由于多多年龄尚小,开放手术创伤巨大且术后切口瘢痕严重,会给多多幼小的心灵留下不可磨灭的创伤。因此,经过多学科充分的术前准备和讨论,最终曹主任为多多制定了微创治疗方案——单孔胸腔镜下左侧叶內型隔离肺切除术。

这个手术对术者的腔镜操作要求极高,手术难度巨大。即便是反复讨论,充分准备,在腔镜进入多多胸腔的那一刻,手术室的医生都不由得捏了一把汗。由于长期反复的肺部感染,病肺充血水肿明显,与膈肌、壁层胸膜广泛黏连,稍有不慎,就很容易引发术中大出血、神经或胸导管等损伤。并且由于单肺通气以及手术对心肺的干扰,麻醉也变得不再简单。

麻醉科朱敦教授等以高超的技术保障了术中多多生命体征的平稳。同时,术中还邀请胸外科张云峰主任医师、高山医师等协助。在手术室、麻醉科、胸外科的通力配合下,曹振杰主任团队在单孔胸腔镜下轻柔地松解病肺周围的粘连,抽丝剥茧,暴露病灶,仔细游离其滋养血管及肺段,当病变肺叶被完整离断取出后大家松了一口气。

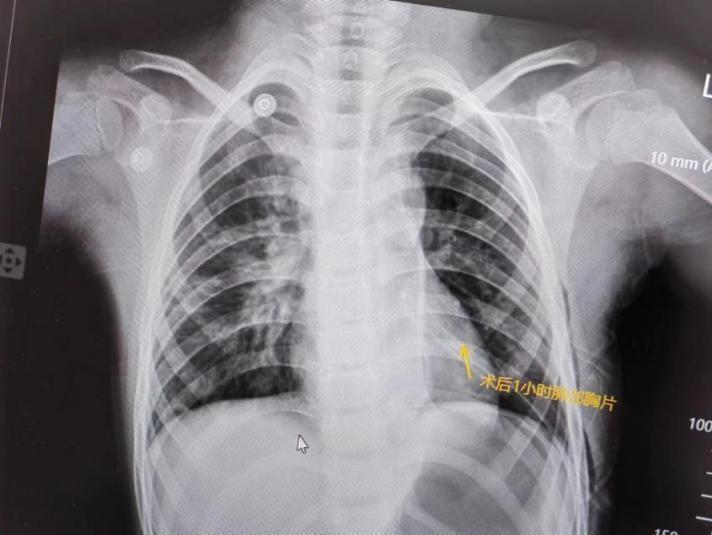
手术后,多多病情平稳,剩余肺叶通气膨胀良好,虽然手术带来的疼痛让她每一次呼吸都小心翼翼;但是她坚毅而倔强的小眼神里闪烁的都是欢喜。多多的父母术后紧紧握住曹主任的手说:“太谢谢您了,困扰我们六年的难题终于解决了。”

先天性肺隔离症又称支气管肺隔离症,为先天性肺发育畸形。肺隔离症占肺部疾病的0.15%-6.4%。临床特点为存在异常动脉供血,主要来自体循环供血,多为胸主动脉及腹主动脉,主要分为叶内型肺隔离症、叶外型肺隔离症和混合型肺隔离症。治疗方法首选手术切除病变肺组织。

随着患儿年龄的增长,隔离肺组织对血流动力学方面的影响加重,增加手术困难,严重时可影响孩子生命。因此,早发现,早诊断,早手术是关键。
小儿外科亚专业是交大一附院儿科重要组成部分,特色诊疗项目包括:
1. 新生儿腹腔镜肠旋转不良矫治、胸腔镜食道闭锁吻合、新生儿膈疝修补及腹腔镜肛门闭锁成形术等复杂疾病微创治疗;2.普儿微创治疗复杂手术:胸腔镜治疗肺气道畸形、腹腔镜治疗胆总管囊肿以及腹腔镜改良soave巨结肠根治等;3.小儿复杂实体瘤治疗:神经母细胞瘤、肝母细胞瘤、腹膜后及骶尾部畸胎瘤诊治;4.小儿体表肿物及畸形治疗:色素痣、瘢痕、脂肪瘤、纤维瘤、多指畸形等;5.胎儿产前疾病诊断和围生期咨询。










