三秦都市报-三秦网讯(记者 阮班慧)糖尿病足是糖尿病严重的并发症,且随着时间的延长疼痛加剧。患者往往双脚冰凉、疼痛难忍、寸步难行,严重影响生活质量。近日,长安区医院疼痛科成功为一名下肢疼痛患者实施腰交感神经节射频术,此技术是应用于多种下肢疼痛性疾病治疗的先进技术,也是目前治疗糖尿病足疼痛的有效方法。

“我手脚冰凉,总是觉得冷,脚疼的待不住,吃止痛药都不管用。”这是王阿姨在疼痛科初次会诊时的哭诉。王阿姨刚年过六十,却已有20年糖尿病史。半年前王阿姨的左脚根部出现红肿,足底破溃,不仅脚上麻木疼痛,血糖也控制不佳。脚部的疼痛让她举步维艰,一周前她来到长安区医院骨三科接受治疗,麻醉疼痛科卢斌主任共同会诊。

详细了解病情后,确定王阿姨为糖尿病严重的并发症,且随着时间疼痛会加剧,因此需立即治疗并控制血糖,这是缓解疼痛和改善糖尿病足患者预后、提高生活质量的关键。经疼痛科卢斌主任团队仔细研究,并与患者及家属充分沟通、交流后,决定为王阿姨行“腰交感神经射频术”。

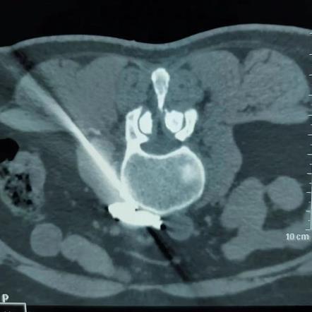
腰交感射频术是在超声引导下将0.7mm(绣花针那么细)的射频针达L2和L4椎体前外侧的交感神经节处,达到目标靶点后,再借助CT\X线做最后定位。


超声引导结合影像定位是疼痛科的特色技术。超声具有可视化、实时动态观察、准确率高、无辐射等优点,就像精确制导导弹一样,同时又可避免对靶目标周围血管、神经的损伤,从而达到理想的治疗效果。
术后,患者下肢疼痛明显缓解、皮肤温度升高、皮肤苍白缺血情况得到明显改善。王阿姨激动地说:“真是好多了!脚也热乎了,也不那么疼了,吃了那么久的止疼药,花了那么多钱都没这个效果好啊!”家属感叹道:“已经很久没看她这么高兴了,说话都有精气神了!”
健康贴士
腰交感神经射频术具有不用开刀、痛苦小、安全性高、并发症少、费用低、可重复治疗等优点。腰交感神经射频热凝术不仅对糖尿病足有较好的治疗效果,而且对下列疾病也有效:下肢缺血性疼痛、血管闭塞性脉管炎、雷诺病、多汗症、断肢痛、幻肢痛、带状疱疹后神经痛等。










