三秦都市报-秦闻讯(记者 阮班慧)突发中风,大脑“主干道”被血栓堵塞,脑细胞正以每分钟190万个的速度死亡。危急时刻,西安工会医院神经外科团队与死神赛跑,在黄金救治时间窗内成功为78岁老人取出致命血栓,成功打通生命通道。
9月21日午后,78岁的林奶奶在家中突然出现嘴角歪斜、言语不清、左侧肢体无力的症状。家人凭借常识立刻判断:”坏了!可能是中风!“他们没有丝毫犹豫,立即拨打120急救电话,为后续抢救赢得了关键的第一时间。
救护车呼啸而至,将林奶奶紧急送往西安工会医院。医院急诊团队迅速响应,头颅CT检查结果令人揪心:患者不仅存在脑干、双侧基底节区多发腔隙性脑梗死,更致命的是右侧大脑中动脉急性闭塞——大脑的一条主要供血
神经外科王占尧主任紧急会诊后明确指出:“大脑半球已严重缺血,患者发病仍在黄金救治时间窗内,必须立即启动卒中绿色通道,实施急诊动脉取栓手术!”
介入手术室内,气氛紧张而有序。王占尧主任坐镇指挥,董冀晨副主任医师与焦文强主治医师组成的手术团队默契配合。他们从患者股动脉植入微导管,如同在血管迷宫中导航,逆流而上穿越心脏,最终精准抵达大脑闭塞的血管处。
董冀晨副主任医师沉稳操作取栓支架,在焦文强主治医师的密切配合下,成功将堵塞血管的血栓完整取出。术后造影显示,原本闭塞的血管瞬间恢复通畅,血流重新奔涌。
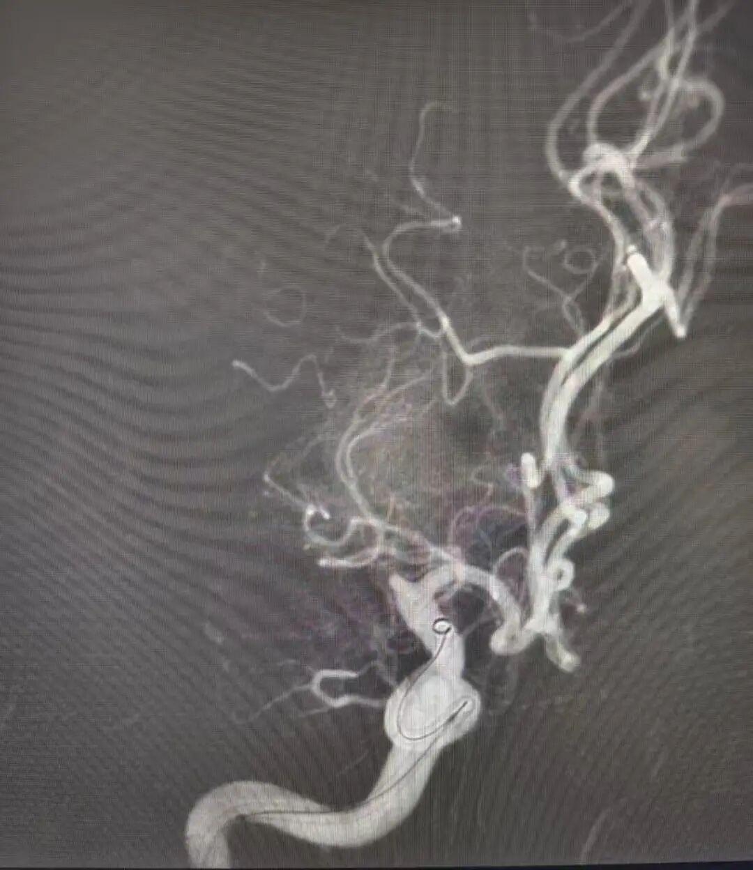
术前

术后

术后,林奶奶生命体征平稳,已转入普通病房进行康复治疗。虽然完全康复仍需时日,但这场及时的手术为她最大程度避免了永久性残疾等严重后遗症。
“对于急性大血管闭塞性脑卒中,时间就是大脑。”王占尧主任强调,此次抢救成功,既是家属及时识别症状、果断送医的结果,也得益于医院卒中绿色通道的高效运转和多学科团队的无缝协作。“我们抢回的不仅是时间,更是患者有质量的生活希望。”
特别提醒:记住“中风120”口诀,关键时刻能救命!
一看:观察1张脸,是否出现不对称、口角歪斜。
二查:检查2只手臂,是否单侧无力、无法抬起。
三听:聆听言语,是否说话含糊不清、无法表达。
一旦出现上述任何一种症状,请立即拨打120!黄金救治时间窗内,每一秒的延误都可能意味着不可挽回的神经损伤。










