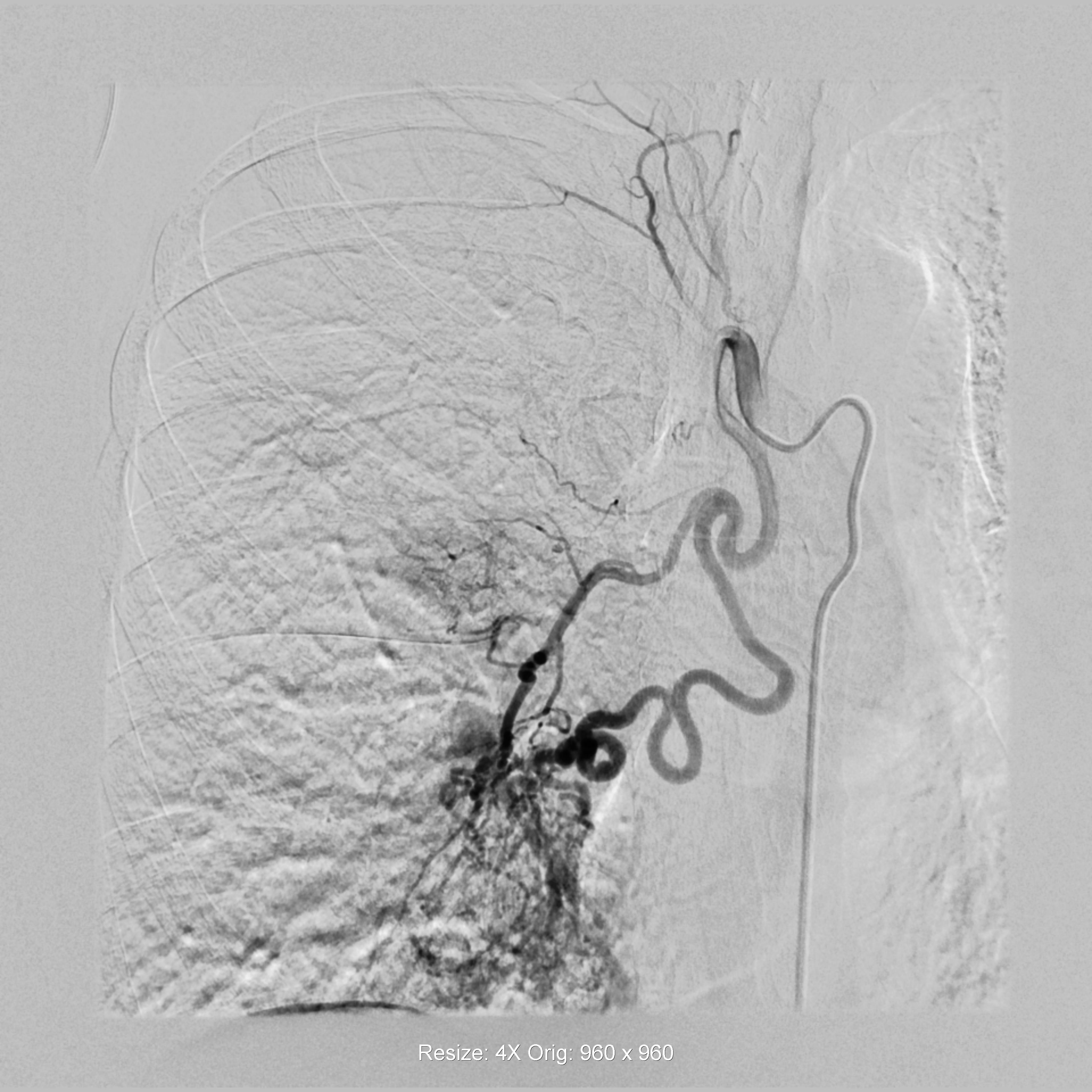
三秦都市报-秦闻讯(记者 阮班慧)56岁的冯阿姨有着32年支气管扩张病史,3天前晨起咳痰时发现血丝,随后病情急转直下,发展为大口咯血。“痰里的血越咳越多,晚上不敢躺,怕一睡就醒不过来。”回忆起入院前的危急情况,冯阿姨仍心有余悸。家人紧急将其送往西安大兴医院渭水园院区,术前CTA检查显示,她的支气管动脉严重迂曲扩张,术中进一步发现支气管动脉-静脉瘘,这正是导致其咯血的“元凶”。
传统手术治疗此类病症对医患双方都是不小的挑战。医生需将导管送入胸主动脉,凭借实时透视画面“盲探”调整导管和导丝位置,完成目标支气管动脉的“超选”操作。但冯阿姨的支气管血管本就走形复杂,加之迂曲扩张,传统“盲探”式超选失败率超50%,不仅可能引发脊髓动脉误栓致瘫痪、大血管撕裂等风险,手术耗时还需2小时以上,医患暴露在X射线中的时间更长,造影剂用量大,对身体虚弱的冯阿姨而言风险加倍。
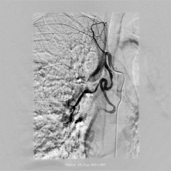
“能不能少遭点罪?”面对家属的恳求,医院介入导管室医护团队决定启用新技术。通过术前CTA与术中DSA影像精准配准,借助3D Fusion技术让迂曲血管立体呈现,再利用Overlay技术将血管走形叠加在实时画面上,原本难以定位的出血点被“一眼锁定”。微导管在导航引导下快速精准到达靶血管,注入栓塞剂后成功止血。从麻醉到手术结束,全程仅用45分钟,较传统手术缩短近2小时。

术前造影(R)

术后造影(R)
术后,冯阿姨未出现射线剂量过量、造影剂损伤、脊髓动脉误栓等风险。因手术中减少了导管、导丝等耗材的使用,此次治疗费用较传统手术降低约20%。“本来还怕又花钱又遭罪,没想到这么省心。”康复后的冯阿姨感慨,好技术能帮患者少受苦。这场手术不仅实现了从“经验盲探”到“数字精准”的技术变革,更体现了医院以患者为中心的服务温度,为咯血患者撑起了生命保护伞。










