三秦都市报-三秦网讯(记者 阮班慧)家住西安市长安区的张女士,被眼部持续瘙痒、干涩及分泌物增多的症状困扰了半年。其间她多次就诊,均被诊断为普通结膜炎,使用常规眼药后症状却毫无改善。近日,她前往长安区医院眼科寻求进一步治疗,终于找到病因。

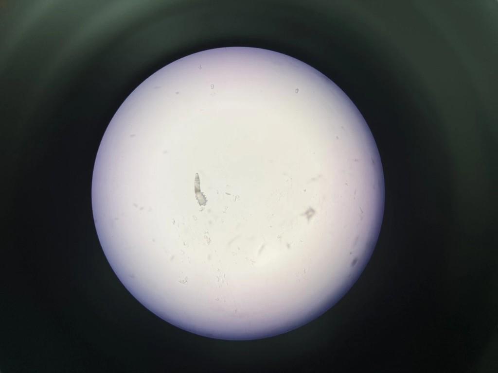
接诊的吴晓萍副主任医师详细询问病史并检查时发现,除了明显眼痒,张女士的睫毛根部还存在白色鳞屑,眼睑皮肤也较为粗糙。这些易被忽视的细节让医生警惕,随即安排了显微镜检查。在高倍显微镜下,数百倍放大的视野中,清晰可见蠕动的螨虫虫体——张女士被确诊为“蠕形螨睑缘炎”,困扰她半年的“元凶”终于浮出水面。

“原来这半年一直被螨虫折磨,难怪点药不管用!”看着显微镜下的画面,张女士又惊又喜。据了解,蠕形螨睑缘炎由螨虫寄生在睫毛毛囊或皮脂腺引发,除眼痒外,还常伴随睫毛脱落、睑缘红肿、异物感等症状,严重时可能影响视力,且症状易与普通结膜炎混淆。

针对张女士的情况,医生制定了精准治疗方案:通过雾化熏蒸、睑板腺按摩配合眼局部抗炎药缓解症状,同时指导她用含茶树油成分的清洁产品护理睫毛根部,每日用40℃左右的温敷软化分泌物,并建议及时更换床品、避免共用毛巾,减少高脂饮食和电子屏幕使用时间。
眼科医生提醒,近年来受生活节奏加快、环境污染等因素影响,眼部螨虫感染患者逐年增多,但因症状与常见眼病相似,极易误诊。目前科室已开展专业螨虫检查及个性化治疗,尤其针对儿童、老年患者提供综合诊疗方案。医生呼吁,若出现眼部不适,切勿掉以轻心,应及时就医明确病因,同时养成良好生活习惯,保持眼部清洁,守护眼部健康。










