三秦都市报-三秦网讯(记者 陶颖)“真不敢相信,我能站起来,还能走路……”刘阿姨因罹患类风湿性关节炎多年,骨质受到严重侵蚀,导致双膝关节逐渐纤维性强直,更加棘手的是,双膝强直于两个极端体位,左膝关节无法弯曲,像“木棍”一样始终处于伸直状态;右膝长期处于极重度屈曲挛缩90度无法伸直。这种“一伸一屈”的特殊畸形,导致无法正常坐立、行走,生活无法自理,身心承受巨大痛苦……

刘阿姨在家属陪同下,辗转西北地区多家三甲医院就诊,均因手术难度大、术后并发症风险高、治疗过程不确定因素多而未果。然而,在一次偶然的病友群交流中,刘阿姨得知有类似患者在西京医院骨科接受人工关节置换术后恢复良好,于是立即前往西京医院就诊。
类风湿性关节炎整体发病率0.5%~1%,约有10%-20%会出现关节强直,关节致残率高达43.48%。“临床上一般超过30度的屈曲挛缩畸形定义为重度屈曲挛缩畸形,这种超过90度极重度屈曲挛缩非常少见,再加上‘一曲一伸’两种极端位置的强直,集中在同一个病人身上,手术难度和风险会成倍增加。”曹晓瑞副主任医师讲道。
下肢处于功能“锁死”状态的刘阿姨,不仅被剥夺了行走能力,还导致严重肌肉萎缩、骨质疏松,生活质量急剧下降,手术是帮助她重新站起来的唯一途径。科室高度重视,经多学科会诊讨论,制定周密治疗规划。曹晓瑞副主任医师团队分析术前影像学资料,精确评估膝关节骨质破坏、关节融合及周围软组织条件。

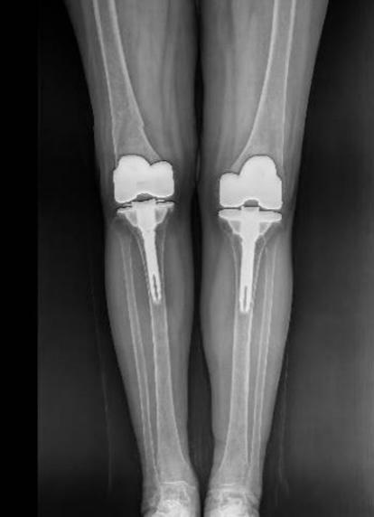
手术关键难点在于精准截除融合骨组织、获得屈伸间隙平衡、恢复下肢力线、确保韧带平衡以重建膝关节功能。团队凭借丰富经验和娴熟技术,成功实施双侧人工全膝关节置换术。术后影像学检查显示,假体位置精准,下肢力线完美纠正,原本僵硬关节被活动自如的人工关节取代,患者功能恢复理想,能正常行走,生活质量显著改善。
“这真是我做梦都不敢想的,以前拄着拐一步步挪,现在终于可以正常行走了。”刘阿姨激动地说。

术后,曹晓瑞副主任医师心系患者康复状况,多次联系患者回院复诊,反复叮嘱康飞科、李鹏辉主治医师与刘阿姨家属保持联系,通过微信及电话指导康复。
术后,刘阿姨来院复查,双膝功能恢复良好,关节屈伸自如,但在行走时,医生团队发现左下肢仍存在轻度跛行状态,进一步检查发现,左髋关节已出现纤维性强直,活动度不足30度,髋关节功能受限,建议尽早接受手术治疗,避免因行动不便出现跌倒意外。刘阿姨对当前“来之不易”的行走能力已经非常满意,便婉拒了医生提议。
然而,命运多舛。一个月前,刘阿姨在下楼梯时不慎踩空滑倒,剧烈的疼痛让老人无法忍受,家属立即联系李鹏辉主治医师寻求帮助。

“从X光片看,这次摔倒导致左侧股骨颈骨折,合并有股骨大粗隆骨折,必须得立即手术。”这一突发状况让刚“回归”正常生活的刘阿姨,再次陷入困境。
考虑到情况紧急,科室立即联系麻醉科及骨科手术室护理团队,安排手术治疗。术前阅片考虑既往左髋关节已近纤维性强直,活动严重受限。外伤后,在力的牵拉及传导下,左侧股骨大粗隆合并撕脱骨折移位,再加上原有类风湿性关节炎的炎症侵蚀导致其骨质疏松严重,骨皮质菲薄,手术视野和操作空间受限,大大增加了人工关节置换手术的难度和风险。股骨大粗隆是臀中肌等外展肌的附丽处,亦是髋关节最重要的稳定机制,重建不好可能会导致髋关节置换术后反复脱位。
面对重重挑战,团队凭借丰富经验和精湛技术迎难而上,过程中由于视野狭小,通过精细操作充分显露髋臼,术中发现髋关节纤维性强直,股骨头已被纤维瘢痕束缚固定,活动范围极小;股骨大粗隆撕脱性骨折位置,仅残留有菲薄的骨皮质骨片且难以进行有效固定。曹晓瑞副主任医师带领手术团队采用“层层递进、先易后难”的手术方式,首先完成左侧人工全髋关节置换,随后将残留的大粗隆骨片进行重建,并借助臀大肌转位加强重建外展肌。术中透视确认,重建位置良好,达到前期手术预期效果。

术后第二天,在医护人员指导和辅助下,刘阿姨开始下地站立并缓慢行走。一周后,在家属的陪同下,刘阿姨顺利出院,回到家中安心康复。
值得一提的是,在今年的“金手奖骨科病例大赛”中,手术团队分享了刘阿姨的“特殊经历”,获得西北赛区关节组第一名,这个成绩不仅是对团队专业能力的高度肯定,更体现了业内同行对处理复杂病例思路与方法的深度认可。










