三秦都市报-三秦网讯(记者 阮班慧)近日,西安大兴医院渭水园院区内分泌代谢科、超声介入科、病理科三科联手,成功引入并开展甲状腺快速染色技术(ROSE)。该技术实现手术床旁即时病理诊断,结合微创治疗手段,构建“诊断-决策-治疗”极速闭环,让甲状腺结节患者告别漫长等待与二次手术,享受高效精准的诊疗服务。

38岁的榆林女士此前查出“4A类”甲状腺结节,恶性风险较高。按传统流程,她需先穿刺取样,等待3-5天获取病理报告,若确诊恶性还需二次预约手术,身心压力巨大。内分泌代谢科王杰主任团队采用“诊疗一体化”方案,术中运用ROSE技术,将病理诊断时间从数天缩短至几分钟,随即通过射频消融技术精准灭活结节,“一根针”完成全程治疗,无需二次手术。

22岁的女性患者因担心传统手术留疤,对甲状腺3类结节诊疗忧心忡忡。超声介入科张永东主任启动多学科协作(MDT)诊疗,在超声引导下精准穿刺取样后,病理科医生通过ROSE技术当场确诊结节为良性。随后,张主任在同一穿刺点实施射频消融术,患者颈部仅留微不可见的针眼,数日后完全愈合,既消除健康隐患,又保住颈部美观。

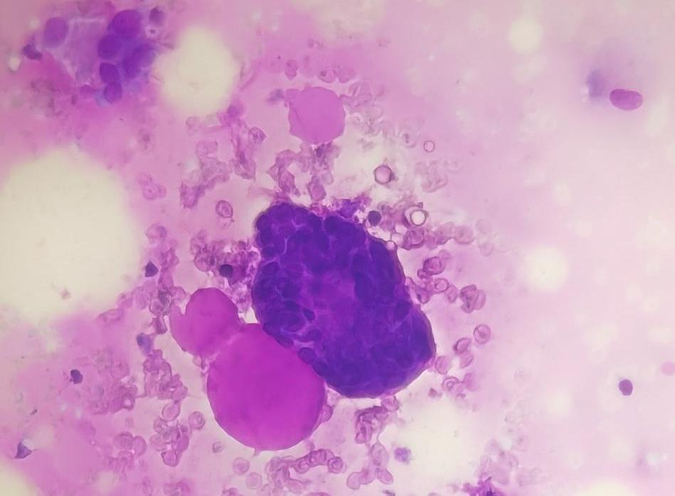
据悉,ROSE技术核心是把病理科“搬”到手术床旁,染色仅需2分钟,5分钟即可现场告知结果,能快速明确标本质量和病变良恶性。依托该技术,三科联合打造超微创诊疗模式:仅留一个针眼,体表无疤痕;最大限度保留健康甲状腺组织,避免患者终身服药;治疗几乎无痛,患者术后观察无恙即可当天出院。

医院相关专家表示,ROSE技术的成功应用是践行精准医疗的重要里程碑,真正实现“当天诊断、当天治疗、当天出院”。未来,医院将持续深化多学科协作,让这一高效微创的诊疗模式惠及更多甲状腺结节患者。










